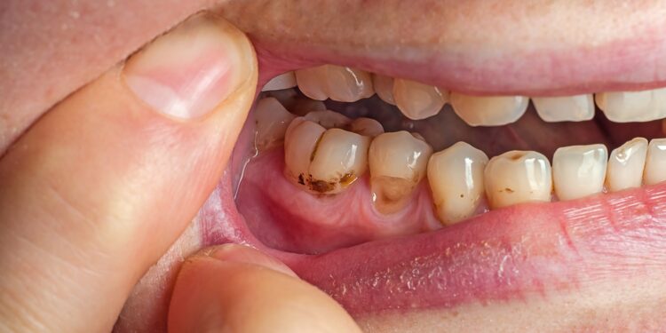
Braune Flecken auf den Zähnen sind in erste Linie ein kosmetisches Problem. Doch sind solche Verfärbungen nicht immer harmlos. Sie können auch ernste Ursachen haben.
Inhaltsverzeichnis
Wo treten die Flecken auf
Braune Flecken auf den Zähnen sind meistens an engen Stellen, am Zahnfleischrand, am Rand von Füllungen und auf den Innenseiten der oberen und unteren Frontzähne zu finden.

Entstehung von Verfärbungen
Äußerliche Verfärbungen auf den Zähnen entstehen durch häufigen Verzehr von Rotwein, Kaffee, schwarzem Tee, Säften, Knoblauch, Gewürzen und durch Nikotin. In Manchen Mundspülungen sind Stoffe enthalten, die ebenso zu braunen Flecken führen können.
Aus harmlosen Flecken kann Karies entstehen
Braune Flecken auf den Zähnen sind nicht immer harmlos. Denn diese können auch Karies bedeuten. Zuerst sind nur kleine Verfärbungen da, später kommen Kälte- und Wärmeempfindlichkeit hinzu – auch Süßes kann mitunter weh tun. Im weiteren Verlauf treten Schmerzen und gegebenenfalls Zahnfleischbluten auf – die Stellen werden weich.
Ob es sich um harmlose Verfärbungen oder um Karies handelt, sollte unbedingt abgeklärt werden. Bei braunen Flecken, die durch regelmäßiges Zähneputzen nicht weichen wollen, ist ein Besuch beim Zahnarzt nötig – lieber einmal zu oft, als zu selten.
Behandlung von Karies
Zum Glück lässt sich Karies heutzutage bereits im Frühstadium erkennen und behandeln, vorausgesetzt, dass der Zahnarzt oder die Zahnärztin regelmäßig aufgesucht wird. Bevor ein Loch da ist, kann diese Erkrankung noch ohne Bohren gestoppt werden. Deshalb sind regelmäßige Kontrollen unerlässlich.
Im Frühstadium wird der Zahnbelag mit professionellen Methoden entfernt, eine antibakterielle Mundspülung empfohlen und zusätzlich noch die Ernährung unter die Lupe genommen. Diese sollte unbedingt arm an Zucker sein. Eventuell wird ein Fluoridlack auf die Zähne aufgebracht. Gebohrt werden muss erst, wenn bereits ein Loch entstanden ist.
Professionelle Zahnreinigung
Auch bei guter Mundhygiene können sich an Stellen, die mit dem normalen Zähneputzen nicht erreichbar sind, Bakterien sammeln und braune Flecken bilden. Hier hilft eine professionelle Zahnreinigung. Selbst hartnäckige Beläge, auch Zahnstein genannt, können mit solch einer Spezialreinigung entfernt werden. Und dies ist wichtig, denn Zahnstein, kann, wenn dieser nicht entfernt wird, zu Erkrankungen der Zähne und des Zahnfleischs führen.
Harte Beläge werden mit Handinstrumenten, weiche Beläge mit Ultraschall und Verfärbungen (wie zum Beispiel braune Flecken) mit Pulverstrahlgeräten entfernt. Die Zähne werden danach poliert und es wird ein fluoridhaltiger Lack aufgetragen. Angst davor ist unbegründet – die ganze Prozedur ist vielleicht an manchen Stellen etwas unangenehm, tut aber nicht weh.
Schutz vor Verfärbungen
Damit braune Flecken und andere Zahnverfärbungen erst gar nicht entstehen, ist vor allem eine ausreichende Mundhygiene in Verbindung mit regelmäßiger Fluoridzufuhr unerlässlich.
Beim Zähneputzen ist der richtige Zeitpunkt sehr wichtig. Zucker ist generell nicht gesund – das weiß jeder. Jedoch wird Zucker im Körper zu Säure verstoffwechselt und auch im Mund wird durch die dort vorhandenen Bakterien Säure produziert, die dann die Zähne angreifen kann. Damit der Zahnschmelz nicht angegriffen wird, sollte mit dem Putzen der Zähne nach dem Essen eine halbe bis eine ganze Stunde gewartet werden. In dieser Zeit bildet sich Speichel, der die angefallene Säure neutralisieren kann. Um den Vorgang zu unterstützen, hilft ein zuckerfreier Kaugummi. Auch beim Verzehr von Obst ist dies ratsam. Jedoch kann nicht jeder morgens solange warten. Hier gilt: Zuerst den Mund mit klarem Wasser gut ausspülen und dann mit einer weichen Zahnbürste vorsichtig putzen. Viele Zahnärzte empfehlen fluoridhaltige Zahncremes, da diese eine Remineralisierung bewirken sollen.
Mit der Zahnbürste können leider nicht alle Stellen erreicht werden. Hier helfen Interdentalbürsten und/oder Zahnseide. Das Reinigen der Zahnzwischenräume sollte zu jedem Zähne bürsten dazu gehören – vor allem abends vor dem zu Bett gehen. Zusätzlich hilft noch die Anwendung mit einer elektrischen Munddusche.
Empfehlenswert ist das Desinfizieren der Zahnbürste mit Grapefruitkernextrakt. Davon werden zwei Tropfen mit ein wenig Wasser vermischt. Darin verbleibt die Zahnbürste circa fünf bis zehn Minuten. Dies wird am besten ein- bis zweimal pro Woche durchgeführt.
Zahnverfärbungen bei Kindern
Braune Flecken auf den Zähnen oder auch andere Zahnverfärbungen können leider schon bei kleinen Kindern auftreten. So ist dies zum Beispiel im Rahmen einer Tetracyclin Behandlung möglich. Auch wenn die werdende Mutter in der zweiten Hälfte der Schwangerschaft Tetracycline bekommt, kann sich dies negativ auf die kleinen Kinderzähne auswirken. Eine sehr seltene Krankheit, die kongenitale erythropoetische Porphyrie ist eine vererbbare Stoffwechselerkrankung, die sich auf die Blutbildung auswirkt. Im Rahmen dieser Krankheit, können sich rötlich-braune Zahnverfärbungen bilden.
Hausmittel
Die meisten Hausmittel und Tipps, die im Umlauf sind, um braune Flecken von den Zähnen zu entfernen, sollten eher kritisch betrachtet werden. Dazu gehören Natron, Backpulver, Zitronensaft, Kurkuma oder Wasserstoffperoxid. All diese „einfachen“ Mittel, vor allem, wenn sie regelmäßig angewendet werden, können dem Zahnschmelz schaden und sogar zu Entzündungen des Zahnfleisches führen.
Kokosöl zum Ölziehen
Kokosöl ist ein einfaches und vor allem gesundes Hausmittel, das die Mundflora positiv beeinflusst und noch zusätzlich leichte Verfärbungen, wie braune Flecken auf den Zähnen, mildern oder sogar beseitigen kann. Kokosöl wirkt gegen Zahnfleischbluten, ist antientzündlich, Abwehr steigernd, antibakteriell und sorgt für ein angenehmes Mundgefühl.
Regelmäßigkeit ist hier wichtig. Dafür wird jeden morgen vor dem Zähne putzen die Zunge mit einem Zungenschaber gereinigt. Danach beginnt das Ölziehen mit dem Kokosöl. Dafür wird ein Teelöffel oder Esslöffel voll Öl in den Mund genommen, dies durch die Zähne gepresst, gesaugt und der Mund damit gespült – das Ganze bis zu 20 Minuten lang. Auf keinen Fall darf das Öl danach geschluckt werden, da dies die ganzen Gifte aus dem Mundraum aufgenommen hat, welche unbedingt ausgespuckt werden sollten. Gespuckt wird am besten in ein Papiertuch und nicht in den Abfluss.
Erst im Anschluss werden die Zähne konventionell geputzt – am besten mit einer Zahncreme, auf der Basis vieler natürlicher Inhaltsstoffe, zum Beispiel einer ayurvedischen Zahnpasta.
Mundwasser
Ein herkömmliches Mundwasser sollte nicht benutzt werden, da die Meisten die Mundflora bei regelmäßigem Gebrauch schädigen. Zu empfehlen ist das Spülen mit einem Mundwasser, das Xylit (Birkenzucker) enthält. Eine Xylithlösung unterstützt die Remineralisierung der Zähne und sorgt für ein gutes Mundklima.
Ernährung für weiße Zähne
Die richtige Ernährung unterstützt das Weiß unserer Zähne. Äpfel, Karotten, grüne Bohnen, Blumenkohl und Sellerie sorgen für ein gesundes Zahnweiß und schützen zusätzlich das Zahnfleisch. Hartkäse kann dem Entstehen von Zahnbelägen entgegen wirken. Die Ananas enthält ein Enzym, das Bromelain, das antientzündlich auf unser Zahnfleisch wirkt. Ebenso zu empfehlen sind Zitrusfrüchte. Sie stärken nicht nur unsere Abwehr, sondern regen die Speichelproduktion an. Nach deren Verzehr sollte aber eine Pause von mindestens einer halben bis zu einer Stunde vor dem nächsten Zähneputzen eingehalten werden, damit die Säuren nicht den Zahnschmelz angreifen können. (sw)
Autoren- und Quelleninformationen
Dieser Text entspricht den Vorgaben der ärztlichen Fachliteratur, medizinischen Leitlinien sowie aktuellen Studien und wurde von Medizinern und Medizinerinnen geprüft.
- Peter Gängler et al.: Konservierende Zahnheilkunde und Parodontologie, Thieme Verlag, 3. Auflage, 2010
- Jochen Jackowski, Hajo Peters, Frank Hölzle: Zahnärztliche Chirurgie, Springer Verlag, 1. Auflage, 2017
- Thomas Weber: Memorix Zahnmedizin, Thieme Verlag, 5. Auflage, 2017
Wichtiger Hinweis:
Dieser Artikel enthält nur allgemeine Hinweise und darf nicht zur Selbstdiagnose oder -behandlung verwendet werden. Er kann einen Arztbesuch nicht ersetzen.










